
众所周知,糖是较廉价的“安慰剂”,但不管我们吃的什么糖,然后又做了什么运动,糖都会扰乱激素,威胁我们的健康。但糖能否直接喂饱癌症,并促进其生长?根据3月22日发表在《Science》的一项研究显示,答案似乎是肯定的,至少在小鼠身上是这样的:每天摄入适量高果糖玉米糖浆(相当于人每天喝355ml的含糖饮料)会加速小鼠肠道肿瘤的生长,
而这与其肥胖与否无关。研究还表明了饮用含糖饮料会直接促进肿瘤生长机制,这一发现将会带来潜在的新型治疗策略。该研究由美国贝勒医学院和威尔康奈尔医学院领导。

研究的通讯作者、贝勒医学院分子与人类遗传学助理教授Jihye Yun说:“越来越多的观察性研究提高了人们对饮用含糖饮料、肥胖与结直肠癌风险之间关系的认识。目前的观点认为糖对我们的健康有害,主要是因为摄入过多会导致肥胖,而肥胖会增加许多类型癌症的风险,包括结肠直肠癌。然而,我们还不确定食用糖和癌症之间是否存在直接和因果关系。因此,当我在威尔康奈尔医学院Lewis Cantley博士的实验室中做博士后时,决定开始解决这个重要问题。

Jihye Yun

Lewis Cantley
首先,Yun及其同事创建了APC基因被删除的早期结肠癌小鼠模型。Yun说:“APC是结直肠癌的‘守门人’。删除这种蛋白就像是去掉了汽车的刹车。没有它的话,正常肠细胞既不会停止生长也不会死亡,而是形成称为息肉的早期肿瘤。超过90%的结癌患者都有此类型的APC突变。”
研究团队利用结肠癌小鼠模型测试了摄入含糖饮料对肿瘤生长的影响。饮料含有25%的高果糖玉米糖浆,这是人饮用含糖饮料的主要甜味剂。高果糖玉米糖浆中葡萄糖和果糖的比例为45:55。
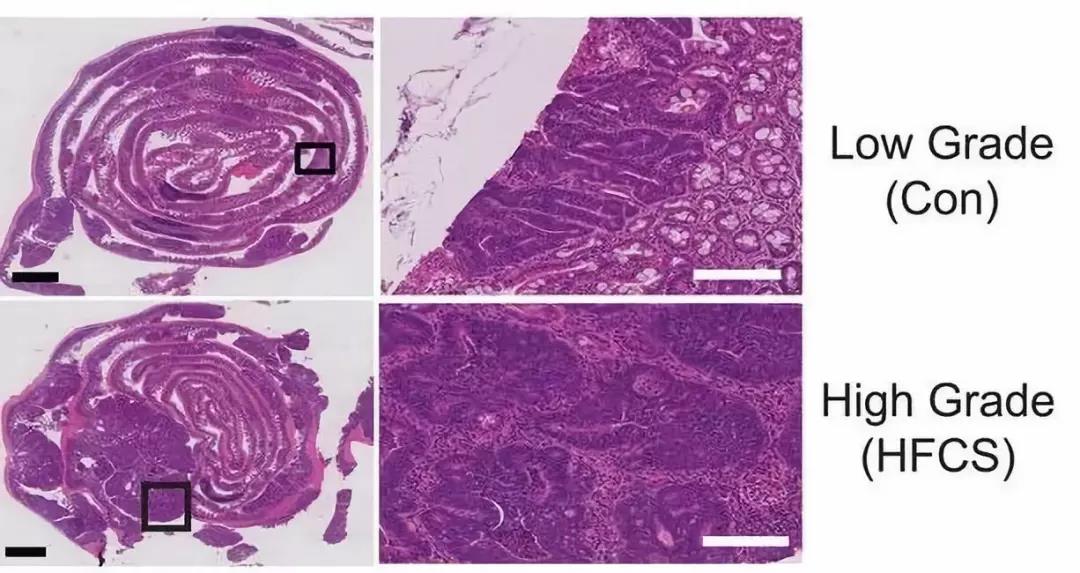
研究人员将含糖饮料提供给apc模型小鼠随意饮用,导致它们在一个月内体重迅速增加。为防止小鼠肥胖并模拟人类每天饮用一瓶碳酸饮料的习惯,研究人员每天用一种特殊的注射器给小鼠口服适量的含糖水。两个月后,接受含糖水的apc模型小鼠并没有变胖,但是出现了比常规治疗的小鼠更大更高等级的肿瘤。

图片来源:《Science》
Yun说:“这些结果表明,当小鼠肠道处于肿瘤早期阶段时,即使摄入少量的液态高果糖玉米糖浆,也能促进肿瘤生长和进展,而不受肥胖的影响。许多年轻人可能会在不经意间发生肠道肿瘤。我们还需要进一步的研究验证这些发现是否适用于人体,然而,基于动物模型的研究表明,长期饮用含糖饮料会缩短癌症生长的时间。对于人类来说,结直肠癌通常需要20到30年才能从早期良性肿瘤发展为侵袭性肿瘤。”
研究共同通讯作者、Yun 的前导师、威尔康奈尔医学院的癌症生物学教授Lewis Cantley说:“动物模型中的这些观察结果可能解释了为什么过去30年中含糖量高的饮料和食物的消费增加与美国25至50岁的结直肠癌增加有关。”
该团队又研究了果糖促进肿瘤生长的机制。他们发现,摄入少量高果糖玉米糖浆的APC模型小鼠的结肠中存在大量果糖,并观察到含糖饮料分别增加了结肠和血液中的果糖和葡萄糖水平,肿瘤可以通过不同的途径有效地吸收果糖和葡萄糖。
通过前沿技术追踪肿瘤组织中果糖和葡萄糖的去处,研究团队发现果糖首先发生了化学变化,而这一过程使其能有效地促进脂肪酸的产生,并较终促进肿瘤生长。
Yun说:“过去大部分研究都只使用果糖或葡萄糖研究糖对动物或细胞系的影响。我们认为这种方法并不能反映出人类实际摄入含糖饮料的情况。我们的发现表明,果糖在肿瘤中的作用是增强葡萄糖引导脂肪酸合成的作用。由此产生的大量脂肪酸可能被癌细胞用来形成细胞膜和信号分子,从而使癌症生长或影响炎症。”
为了确定果糖代谢或增加的脂肪酸产生是否是糖诱导肿瘤生长的原因,研究人员修改了APC模型小鼠,使其缺乏编码果糖代谢或脂肪酸合成相关酶的基因。一组APC模型小鼠缺乏参与果糖代谢的KHK酶,另一组缺乏参与脂肪酸合成的FASN酶。他们发现,当喂食等量的高果糖玉米糖浆时,缺乏这两种基因中的任何一种小鼠,都不会像APC模型小鼠那样发展出更大的肿瘤。

图片来源:Vincent Dittmer
Cantley说:“这项研究揭示出惊人的结果,结直肠癌利用高果糖玉米糖浆作为能量来源促进肿瘤生长,而高果糖玉米糖浆是大部分含糖饮料和很多其他加工食物的主要成分。虽然很多研究发现结直肠癌发病率的增加与饮食存在关联,但是该研究表明了摄入含糖饮料与结直肠癌之间的直接分子机制。”
Yun说:“我们的发现也为治疗带来了新的可能。与葡萄糖不同的是,果糖对正常细胞的存活和生长并不是必需的,这表明针对果糖代谢的治疗方法值得探索。另外,尽量避免饮用含糖饮料,而不是依赖药物控制血糖,这样会显著降低结肠内的糖含量。”
虽然还需要进一步的人类研究,Yun和同事们希望,这项研究将帮助公众意识到含糖饮料对人类健康的潜在危害,并有助于降低全世界范围内的结直肠癌风险和死亡率。
所以说,给点儿“甜头儿”,是要付出代价的。
本文由“BRAIN TECH”整理发布,如需转载请注明来源及出处,原文地址:http://www.shmedgroup.com/news/6.html




